Medical information
Medical hours
| 診療時間 | 月 | 火 | 水 | 木 | 金 | 土 |
| 9:00~19:00 | ● | ● | 14時迄 | ● | ● | 16時迄 |
| インプラント手術 | – | – | 14時~ | – | – | – |
● 月・火・水・金:9:00〜19:00(受付18:30まで)
△ 水:9:00〜14:00 (受付13:30まで)
※ 14:00〜インプラント手術を行っております。
〇 土:9:00〜16:00(受付15:30まで)
日曜日・祭日:休診
Medical subject

repair

dentures

implant

periodontal disease

orthodontics

oral surgery

Pediatric dentistry

aesthetic dentistry

others
repair
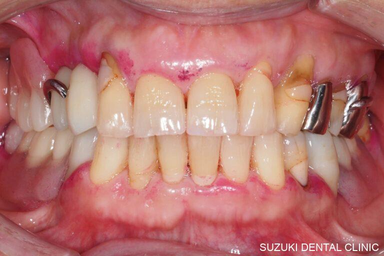
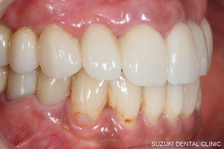
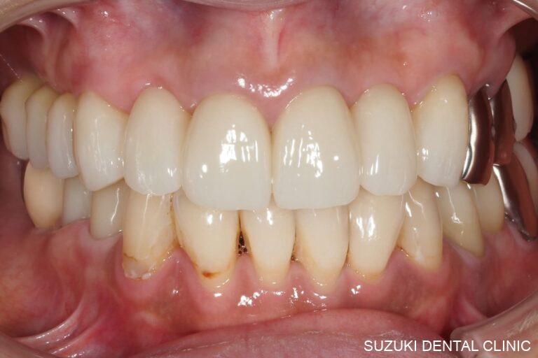
歯は虫歯になると同じ歯でまた虫歯になることもあります。治療を重ねていくによって虫歯を削られ、被せ物を入れられ、神経を抜かれ、最終的に歯根破折を起こして歯を失うこともあります。これを各病態によって、いかに歯の喪失を遅らせることができるかが重要と考えます。私は、臨床を行う中で、歯を削りすぎない低侵襲治療技術を徹底的に高めてきました。
歯髄温存療法(患部歯髄のみを除去し全部の神経を取ってしまわない治療法)や歯牙再植術(一端抜歯して口腔外で処置を施し、即日歯を戻す療法)など様々な治療法・生体材料を駆使し、歯の機能的保存治療が可能です。(一部保険外治療です。)
治療後も長期経過観察を必ず行うことを徹底しています。この治療成功率は高いですが(8年以上経過症例を基準とする)、残念ながら医療に100%はありません。
経過観察中に再感染を起こし、組織回復が期待できないケースもあります。全てが完全というわけではありません。患者さんに、きちんと治療開始前に治療法の長所と短所、現在の状態と今後の予測される予後をご説明します。
特に追加治療を行う際の、謂わば、“プランB”を必ず治療計画時にご提案します。現在では精密歯冠補綴治療により歯周組織学の観点から長期予後を得られる方法が確立されつつあります。前述の治療はすべて手術用歯科顕微鏡(以下、マイクロスコープ)を用いた超精密かつ最小限の歯の切削と厳密な接着操作により、歯科材料の持つ性質を最大限に引き出して、生体親和性が高く、長期にわたり痛みや再治療リスクの少ない修復治療を実現する事にこだわりを持って臨床に臨んでいます。
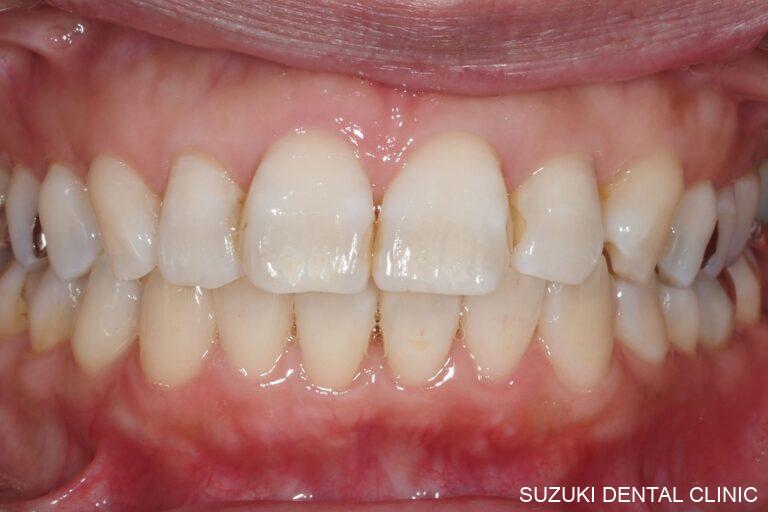
dentures
義歯は、義足、義手と同じく体の一部となり機能するものです。
患者さんの訴える咬みにくさ、咀嚼機能問題を全て解決に導く事は、顎・口腔リハビリテーションの要素を含み、口腔内の感覚を患者さんの年齢、性別、姿勢、体格、嗜好品などの食生活QOLに合わせて機能改善を図る分野であると考えます。
これまでの臨床経験による技術と、咬合理論を駆使して、機能と審美性を兼ね備えた美しい口元と快適な食生活を取り戻すことは、患者のQOLを高めると共に我々の存在意義を同時に揺るぎないものとすることと確信しています。



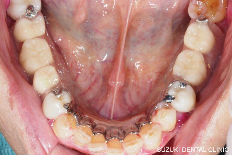
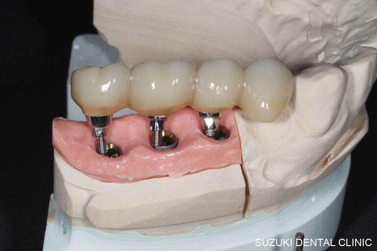
implant


補綴治療による機能回復療法の選択肢の一つとして、インプラント(人工歯根)があります。私は福岡歯科大学口腔外科に所属し、親知らずの抜歯、上顎洞の手術などの口腔外科手術を多数経験し、後進指導をしてきました。約20年間のインプラント治療臨床経験があると同時に、インプラント治療前処置としての骨再生治療を行ってきました。
また、インプラント治療を必要とする患者さんの大多数は高齢の方です。従って、ご病気をされた事がある・なしなど、全身既往歴なども必須評価項目になります。歯を失っている事の影響で骨、歯茎が痩せているままの状態でインプラント治療を受けると、歯茎の高さが隣接する歯と高さが不揃いとなり、ブラッシングしずらく、自然感の損なわれたインプラントの歯が入ってしまっている方を見る事があります。インプラント治療をお受けになられた患者さんはご自身で歯ブラシを行いセルフケアしていくことが長持ちするポイントです。
しかし、歯ブラシで磨きにくかったり、食べ物が詰まりやすい歯が入ってしまうと不潔になりやすく、清掃性が低下しインプラントの歯周病である「インプラント周囲炎」を起こしてしまいます。当院では歯ブラシが難しくならないように再生治療を併用したインプラント治療を行うこともあります。
口腔外科領域でもマイクロスコープの恩恵に授かり低侵襲・治療時間の短縮を実現しています。また、インプラント学会他、数々のハンズオンコースを通じて学び、経験を積んできました。各症例に対して最も安全で的確な術式を選択し、咬合を回復する事は、私の専門分野の大きな治療戦略の一つだと考えています。
periodontal disease
2022年は山口県開業の歯周病専門医である大村祐進先生主催の全国から受講者の集まる「Omura’s Method」を受講する事ができました。この1年間に渡る実習付き研修、症例発表を修了し、インプラントを始め、審美歯科にまつわる歯科矯正治療、補綴を含めた生体臨床トレーニング、また学んだ内容を実践する機会にも恵まれました。この経験が私の大きな転換期でもあり、過去の臨床実績やプロセスが間違いのないものであると確信できる機会となりました。
歯周病治療・インプラント治療は私の専門分野の一つでもあります。歯周病学の病理組織学的基礎から基本治療、外科治療に至るまでの内容を網羅しており、歯周治療の考え方と技術・経営学を徹底的に教え込まれました。この経験を活かし、生涯の中で長期安定した予後、しっかり噛める喜び「キレイで長持ち」を患者と共有できることを喜びとして、日々の診療を行っています。
以上の治療について大まかなご説明いたしました各分野の全ては治療の質を高めてくれているのは、クリア視界、すなわち、正確精細に見える事のアドバンテージをZEISS社のマイクロスコープがもたらしてくれました。。実際、視力の低下とともに引退を考える歯科医師が多いのが現実で、歯科医師にも高齢化の波がきています。しかし、マイクロスコープの技術革新によって、歯の神経の内部や歯周ポケット内の歯石などを0.1mm単位の精度で識別する事が可能となりました。治療術式も改良され、「痛くない・治癒が早い」低侵襲化が進んでいます。さらに、鈴木は2019年より日常臨床に導入し、すべての治療シーン、例えば、治療前の局所麻酔で歯肉に針を刺す時からマイクロスコープを覗いて注射しています。初診診査時から保険・保険外に関わらずマイクロスコープを常に用いた診査、治療を現在でも行っております。患者さんにとっては「百聞は一見に如かず」で患部の状況を容易に理解することが出来、治療の必要性を共感して頂けると思います。マイクロスコープを用いると診療時間を長くとられ、実際に使用できる場面は限られていると言われます。しかし、私見ではありますが、拡大鏡も十数年、たくさん使用してきましたが「ルーペ」もマイクロスコープも拡大視野を得る一手段であり、使用者である施術者にとっても眼精疲労や身体的負担の少ないマイクロスコープが倍率も治療内容によって可変できますので、長所も多いと考えています。マイクロスコープの導入によってより明瞭な治療視野を獲得し、同時にリアルタイムで鮮明静止画像・動画収録可能であるため、治療後に「生の画像資料作成」も同時進行に進める事が可能です。患者様は必ず動画による「治療のまとめ」をご覧になれます。このシステム化された臨床形態をすでに確立し6年目になりました。マイクロスコープの普及率は全国で現在5〜10%ですが、「マイクロスコープが無い歯科医での治療は控えた方がいい」、というコメントすら目にする昨今でもあります。つまり患者様はより質の高い治療を求めているのではないでしょうか。
orthodontics



補綴治療による機能回復療法の選択肢の一つとして、インプラント(人工歯根)があります。
私は福岡歯科大学口腔外科に所属し、親知らずの抜歯、上顎洞の手術などの口腔外科手術を多数経験し、後進の指導をしてきました。
約20年間のインプラント治療臨床経験があると同時に、インプラント治療前処置として骨再生治療を行ってきました。
口腔外科領域でもマイクロスコープの恩恵に授かり低侵襲・治療時間の短縮を実現しています。
また、インプラント学会を通じて学び、経験を積んできた。各症例に対して最も安全で的確な術式を選択し、咬合を回復する事は、私の専門分野の大きな治療戦略の一つです。
aesthetic dentistry
補綴治療による機能回復療法の選択肢の一つとして、インプラント(人工歯根)があります。
私は福岡歯科大学口腔外科に所属し、親知らずの抜歯、上顎洞の手術などの口腔外科手術を多数経験し、後進の指導をしてきました。
約20年間のインプラント治療臨床経験があると同時に、インプラント治療前処置として骨再生治療を行ってきました。
口腔外科領域でもマイクロスコープの恩恵に授かり低侵襲・治療時間の短縮を実現しています。
また、インプラント学会を通じて学び、経験を積んできた。各症例に対して最も安全で的確な術式を選択し、咬合を回復する事は、私の専門分野の大きな治療戦略の一つです。




Pediatric dentistry
oral surgery
補綴治療による機能回復療法の選択肢の一つとして、インプラント(人工歯根)があります。
私は福岡歯科大学口腔外科に所属し、親知らずの抜歯、上顎洞の手術などの口腔外科手術を多数経験し、後進の指導をしてきました。
約20年間のインプラント治療臨床経験があると同時に、インプラント治療前処置として骨再生治療を行ってきました。
口腔外科領域でもマイクロスコープの恩恵に授かり低侵襲・治療時間の短縮を実現しています。
また、インプラント学会を通じて学び、経験を積んできた。各症例に対して最も安全で的確な術式を選択し、咬合を回復する事は、私の専門分野の大きな治療戦略の一つです。
others
periodontal disease
前述の治療について述べさせて頂きました各分野の全ては治療の質を高めてくれているのは、明瞭な術野、すなわち、正確精細に見える事のアドバンテージをマイクロスコープがもたらしてくれました。
実際、視力の低下とともに引退を考える歯科医師が多いのが現実で、歯科医師にも高齢化の波がきています。
しかし、マイクロスコープの技術革新によって、歯の神経の内部や歯周ポケット内の歯石などを0.1mm単位の精度で識別する事が可能となりました。
治療術式も改良され、「痛くない・治癒が早い」低侵襲化が進んでいます。さらに、私は2019年より日常臨床に導入し、すべての治療シーン、例えば、治療前の局所麻酔で歯肉に針を刺す時からマイクロスコープを覗いて注射しています。
初診診査時から保険・保険外に関わらずマイクロスコープを常に用いた診査、治療を現在でも行っております。
患者さんにとっては「百聞は一見に如かず」で患部の状況を容易に理解することが出来、治療の必要性を共感して頂けると思います。
マイクロスコープを用いると診療時間を長くとられ、実際に使用できる場面は限られていると言われます。
しかし、私見ではありますが、ゴーグルのような「ルーペ」もマイクロスコープも拡大視野を得る一手段であり、使用者である施術者にとっても眼精疲労や身体的負担の少ないマイクロスコープが倍率も治療内容によって可変できますので、長所も多いと考えています。
マイクロスコープの導入によってより明瞭な治療視野を獲得し、同時にリアルタイムで鮮明画像収録可能であるため、治療後に「生の画像資料作成」も同時進行に進める事が可能です。患者は必ず動画による「治療のまとめ」をご覧になれます。
このシステム化された臨床形態をすでに確立し4年目になりました。
マイクロスコープの普及率は全国で現在5〜10%ですが、関東では「マイクロスコープが無い歯科医での治療は控えた方がいい」、というコメントすら目にする昨今でもあります。

repair

dentures

implant

periodontal disease

orthodontics

oral surgery

Pediatric dentistry

aesthetic dentistry

others